Wed--Kwei
The Measles Resurgence: What’s Happening?
Measles is making a dangerous comeback in the U.S. As of March 2025, over 200 cases (likely an undercount) have been reported across 12 states, with the highest numbers in Texas and New Mexico. According to a March 7 release by the Centers for Disease Control and Prevention (CDC), most of the cases “are among children who had not received the MMR vaccine,” which protects against measles, mumps, and rubella. The CDC warns that cases have increased 17-fold compared to previous years, putting young children, pregnant women, and immunocompromised individuals at serious risk. Most infections are occurring in unvaccinated children, demonstrating how even tiny drops in vaccination rates can cause rapid outbreaks.
What Is Measles, and Why Is It So Contagious?
Measles is a highly infectious viral disease that spreads through airborne droplets when an infected person coughs or sneezes. The virus can linger in the air for up to two hours, making transmission almost inevitable for unvaccinated individuals. Measles is more contagious than Ebola, influenza, or COVID-19. A single infected person can quickly expose 18 unvaccinated individuals around them. Early symptoms include high fever, cough, runny nose, red eyes, and small white spots in the mouth called Koplik spots, followed by a spreading rash.
![]() |
| Severe measles rash (Medscape.org) |

Measles conjunctivitis (Medscape.com)
![]() |
| Koplik spots are specific to measles (Wikipedia/CDC) |
A Brief History Of The Measles Vaccine
Before the measles vaccine was introduced, the U.S. saw 3–4 million cases annually, with 48,000 hospitalizations, 1,000 cases of encephalitis, and 400–500 deaths each year. In 1954, Dr. Thomas Peebles and Dr. John Endersisolated the virus, leading to the development of the first effective vaccine in 1963
Following widespread vaccination, measles cases plummeted. By the 1980s, incidence dropped to 13 cases per million people, and in 2000, measles was declared eliminated in the U.S., meaning no sustained outbreaks for over a year. However, measles remains a global threat, and imported cases can still spark outbreaks in under-vaccinated communities. Keeping high vaccination rates is crucial to prevent its return.
My First And Only Measles Case: A Harrowing Reality
I encountered my first measles case while working in an urgent care clinic years ago. A panicked mother brought in her 2-year-old boy, who was feverish, lethargic, and covered in a rash. Mom admitted they had delayed the MMR vaccine due to misinformation. The toddler was breathing rapidly and had a runny nose, harsh cough, and conjuntivitis (see above), classic measles symptoms. Not only was the poor boy in utter misery, his life was at stake, and so we admitted him immediately to Children's Hospital of Los Angeles.
It struck me then how many younger doctors like me had never seen a case before due to high vaccination rates. Now, many more physicians are witnessing it firsthand. One hallmark of an advanced society is the way it takes care for its children, and yet, we have gone backward. Meanwhile Brazil and East Timor elminated measles in 2018.
The Deadly Complications of Measles
Measles is not a harmless childhood illness. It can cause severe complications, including:
· Pneumonia (leading cause of measles-related death in children)
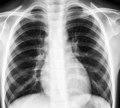
[Quick x-ray tutorial: The lungs show dark because they contain air. Pnemonia shows up as white. This severe level of pneumonia could put a patient on the ventilator.]

Normal chest x-ray (Case courtesy of Bruno Di Muzio, Radiopaedia.org) 
Meases pneumonia in both lungs of a 6-month old infant
(Sultan Qaboos University Medical Journal [SQUMJ]. 22. 10.18295/squmj.4.2021.063)
· Ear infections leading to deafness
. Brain Swelling (causing seizures or permanent damage)
· Subacute sclerosing panencephalitis (SSPE)—a 100% fatal, long-term brain disease occurring years after infection
These photos are from a heartbreaking but must-read story by Ruediger Schoenbohm whose son Max died of SSPE in 2014.
![]() |
The Measles Vaccine: Safe, Effective, and Lifesaving
The MMR vaccine (measles, mumps, rubella) has been 97% effective since its introduction in 1963. Thanks to vaccination, measles was eliminated in the U.S. by 2000. However, declining vaccine uptake has allowed outbreaks to return. The vaccine has an outstanding safety record, with no credible link to autism or other significant side effects. Over 60 million lives have been saved globally due to measles vaccination.
Misinformation and Dangerous ‘Alternatives’
Misinformation is fueling the measles resurgence. Some prominent figures, notably HHS Secretary Robert F Kennedy (RFK) Jr., have de-emphasized vaccines in favor of diet, exercise, and treatments like cod liver oil and budesonide.
Vitamin A is recommended around the world for measles because there is evidence it can help if someone is deficient, which some patients in developing countries might be, but the benefit to patients in the U.S. is unclear. Vitamin A, which may be administered to infants and children in the United States with measles as part of supportive management and under the strict supervision of a healthcare provider, is not a substitute for vaccination.
Says Summer Davies, a pediatric hospitalist in Lubbock, Texas, who has cared for nearly a dozen measles patients, ‘Yeah, this is . . . not a wonder drug . . . it may prevent some complications, but we’re not giving it to every child in the hospital because the evidence just isn’t there.” Overuse of Vitamin A can lead to toxicity and cause damage to the liver, bones, central nervous system, and skin.
In a Fox News interview, Kennedy minimized the risks of measles while dimissively declaring, “It used to be… everybody got measles," and that it is “very, very difficult for measles to kill a healthy person. He claimed that deaths from the disease are linked to poor health and diet. This is not true. The disease kills between one to three out of every thousand people infected in the United States.
An environmental lawyer and activist with zero medical or epidemiological training, RFK Jr. claims that when he had measles as a child, he took cod liver oil. Unfortunately, personal anecdotes are not science, and we can't chart our public health action plans based on one misguided man's childhood experience. Budesonide (a steroid inhaler), is not a recognized treatment for measles. The best—and only reliable—protection is vaccination.
In his powerful, influential position in the Trump regime, RFK Jr.'s wilfull blindness is reckless and morally bankrupt. He is a five-alarm-fire existential threat to the wellbeing of the American people.
Why Risk Your Child’s Life? Get Vaccinated
Measles is a preventable disease with life-threatening consequences. The MMR vaccine protects your child and safeguards vulnerable individuals who cannot be vaccinated. Every parent wants the best for their child—choosing vaccination is choosing safety.
Let’s not wait until we see more children suffering. Talk to your doctor and ensure your family is up to date on vaccinations. Stopping this outbreak is in our hands.




So timely and cogent. THANK YOU, Kwei. sharing! AA
ReplyDeleteThanks for sharing this. I thought MMR was an automatic thing.
ReplyDelete